本文报告的患者经其全科牙科医生介绍至笔者诊所。患者,男,38岁,主诉左上颌牙痛;左上颌第一磨牙被诊断为病源牙。26处发现深龋,伴不可逆性牙髓炎的症状。26窝洞已部分预备;近中面已暂时修复。
患者24至26区域的病史较复杂。24在多年前因牙根纵裂被拔除、约4年前植入钛种植体;但之后没有发生骨结合,种植体也被取出。患者决定在下一次植入前使用金属-陶瓷桥。
检查发现26对冷、甜刺激产生疼痛。全景片显示龋已穿髓(图1)。
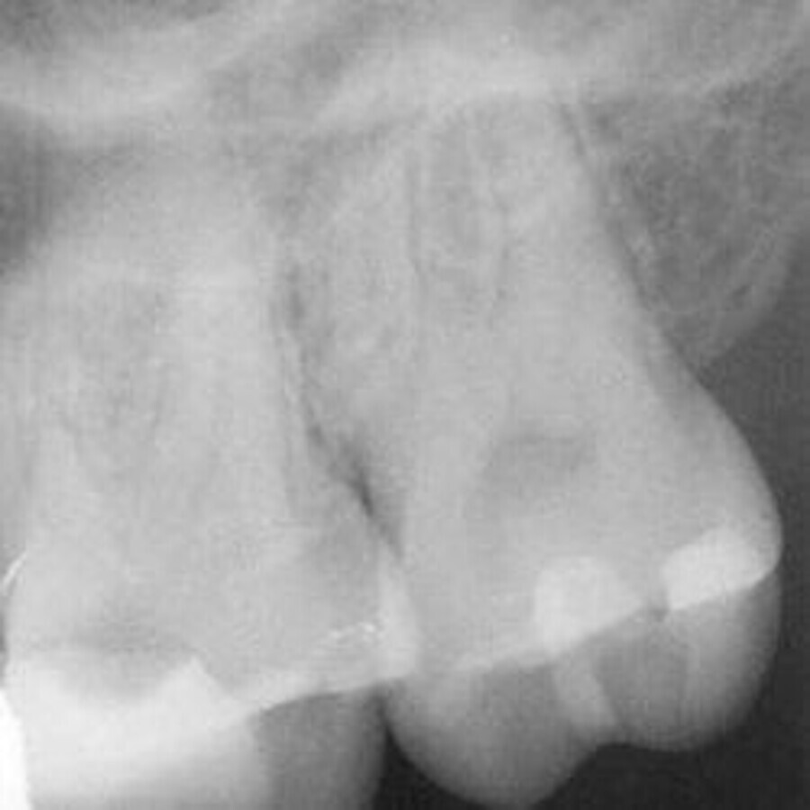
笔者选择进行单次的牙髓治疗。首先进行局部麻醉给药和橡皮障隔离。之后使用金刚砂车针开髓,并用超声工作尖(CAVI 2-D,VDW)找到根管口。开髓过程中使用探针探查到4个根管。腭根管的工作长度为21.5mm(C-PILOT,ISO 10号,VDW),近颊根管和远颊根管的工作长度为21.0mm(C-PILOT,ISO 10号),近颊第二根管的工作长度为20.0 mm(C-PILOT,ISO 8号)。使用电子根尖定位仪对工作长度进行确认。从全景片和牙片(图2)上可以发现,根管十分狭窄、弯曲,因此笔者决定使用连续旋转根管预备系统(VDW.ROTATE,VDW)。
图2:初始X线片。
图3:术后X线片。
为确保治疗成功,所有根管必须清理、成形至工作长度。在本病例中,顺应根管的自然弧度非常重要;因此本病例采用单长度法(所有锉全部预备到工作长度)。VDW.ROTATE锉依照以下顺序使用:15/.04,20/.05和25/.06用于近颊根管和远颊根管;30/.04,35/.04和40/.04用于腭根管。为防止近颊第二根管的根管偏移,其主根尖锉选用25/.04。牙科手术显微镜(Leica M320,Leica Microsystems)在牙髓治疗过程中十分有帮助。
在清理、成形过程中使用5%次氯酸钠进行大量冲洗。使用超声工作尖(Endo Chuck,EMS)和声波根管冲洗头(EDDY,VDW)进行根管荡洗。最后用17%EDTA冲洗根管(在根管内保留2min)。用吸潮纸尖干燥根管。将环氧胺根管封闭剂和主牙胶尖置于根管内,采用连续波充填技术充填根管。使用玻璃离子水门汀作为暂时填充材料(图3)。将患者转诊至其全科牙科医生进行后续治疗。
Paulina Piasta-Kielkiewicz博士
2010年毕业于波兰华沙医科大学。
2010年至2011年在华沙华沙军事科技大学医学诊所完成实习。
Paulina Piasta-Kielkiewicz博士已完成牙髓治疗的理论和操作课程。她在华沙的一家私人诊所工作,主要研究牙髓病学。
编者: 原文出自“roots—international magazine of endodontics No. 01/2021”
特别鸣谢:VDW GmbH
标签:
关注于牙科美容学领域发展的认证课程项目—第二届仿生研讨会(The 2nd Bio-Emulation ...
一些研究表明牙周炎与阿尔茨海默氏症(Alzheimer's ...
直播
二. 19 五月 2026
11:00 下午 CST (Shanghai)
直播
三. 20 五月 2026
1:00 上午 CST (Shanghai)
Prof. Dr. med. dent. Ivo Krejci
直播
三. 20 五月 2026
7:00 下午 CST (Shanghai)
Dr. Graham Carmichael BDSc (Hons), DClinDent (Pros), FRACDS, Dr. Robert Gottlander DDS
直播
三. 20 五月 2026
9:00 下午 CST (Shanghai)
直播
三. 20 五月 2026
11:00 下午 CST (Shanghai)
直播
四. 21 五月 2026
1:00 上午 CST (Shanghai)
Prof. Dr. med. dent. Tim Joda PhD, MSc, eMBA
直播
五. 22 五月 2026
12:00 上午 CST (Shanghai)
Dr. Leonardo Muniz DDS, MSC
To post a reply please login or register