本病例介绍展示了使用Atlantis患者个体化基台的逐步操作。本病例患者36岁,因46牙垂直骨折转诊至我们的诊所。治疗方案是拔牙后用传统种植方法种牙和装入附件来替换患牙。方案的难点在于恢复牙龈和邻接区牙龈乳头的外形,使其接近正常牙。为了达到长期、自然的修复效果,我们选择Atlantis基台(Dentsply Sirona公司)以提供最佳的解剖外形、支持强度和外观色泽。
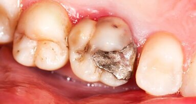
图1:46牙垂直骨折。探查可见一窄而孤立的远中裂沟,深度大于15毫米。
图2:在X线片上,沿远中根的远中壁上可以观察到垂直根折典型的J形投射影。
图3:拔牙时未损伤牙槽骨壁。不使用移植材料,对牙槽窝进行刮除和缝合。
图4:愈合8周后,拔牙区软组织完全愈合。
图5:八周后,牙槽骨形成量可以进行种植。
图6:使用外科支架,以计划修复的牙颈部外形高点作为参考点,在3D辅助下合适的位置进行截骨术。
图7:种植体位于计划修复的牙颈部轮廓向根尖3mm,近远中侧对称,偏舌侧2mm,以保留支撑软组织的颊骨。
图8:放置一个7mm的愈合基台,引导软组织达到最佳愈合状态。
图9:六周后移除愈合基台,并将印有种植体位置和软组织形状的最终印模与对侧模型一起送至牙科实验室。
图10:根据被替换磨牙的实际露出宽度设计Atlantis基台,用钛制造,外层涂有氮化钛涂层。
图11:Atlantis镀金钛合金基台和配套螺丝钉一起被送往牙科实验室。
图12:基台的龈下部分将为周围软组织提供解剖外形、支持和色泽。最后的修复冠由氧化锆制作。
图13:最终种植修复的修整线应接近牙龈边缘,以便于去除龈下区域多余的水门汀。修复体已准备好交给病人。
图14:Atlantis基台置于软组织上并稍加压,几分钟后缺血恢复,基台正确就位。
图15:使用X线机器检验基台是否正确就位。注意基台的过渡部分应遵循骨轮廓。
图16:根据制造商建议,将镀金钛合金Atlantis基台以25Ncm扭矩拧紧。螺丝钉头被覆盖,之后牙冠用水门汀粘于基台上。
图17:十年后X线显示修复体、为邻面乳头创造的空间和种植体水平的骨量非常合适。
图18:十年后观察到修复体周围软组织适应良好(颊面视图),邻面乳头填充了预留空间,形成自然的软组织轮廓。
Fernando Rojas Vizcaya博士,DDS,MS,在美国北卡罗来纳大学教堂山分校亚当斯牙科学院口腔修复学系工作。他同样担任西班牙卡斯特隆地中海修复研究所所长。可通过www.prothodontics.es联系他。
本文介绍的修复工作是由西班牙马拉加Laboradent的注册牙科技师Francisco Ortega准备的。
德国汉诺威讯 德国研究人员正研发与患者颌骨结构完全匹配的定制化牙科种植体。该技术将计算机建模与先进 3D ...
直播
三. 13 五月 2026
1:00 上午 CST (Shanghai)
直播
五. 15 五月 2026
12:00 上午 CST (Shanghai)
直播
五. 15 五月 2026
2:00 上午 CST (Shanghai)
Prof. Hani Ounsi DDS PhD FICD
直播
二. 19 五月 2026
11:00 下午 CST (Shanghai)
直播
三. 20 五月 2026
1:00 上午 CST (Shanghai)
Prof. Dr. med. dent. Ivo Krejci
直播
三. 20 五月 2026
7:00 下午 CST (Shanghai)
Dr. Graham Carmichael BDSc (Hons), DClinDent (Pros), FRACDS, Dr. Robert Gottlander DDS
直播
三. 20 五月 2026
9:00 下午 CST (Shanghai)
To post a reply please login or register