本文将逐步展示一单颗义齿美学修复案例。患者由于#11牙折前来就诊(图1)锥形束计算机断层扫描(CBCT)证实了牙折,并显示唇侧牙根有外部吸收(图2)。患牙必须拔掉,并决定在立即种植后进行临时的美学种植修复。计划采用短期的非包容式装载方式进行即刻种植体植入。
应用 CEREC瓷睿刻 Omnicam scanner 真彩扫描(登士柏西诺德)进行上下颌颊面全角度扫描(图3)。所得图像与DICOM(医学数字成像与通信)文件一同被上传至Simplant software(登士柏西诺德,图4&5)。
在Simplant Guide(一款Simplant软件)中,结合患者特异性Atlantis Custom Base Solution(具有氮化钛基台表面;登士柏西诺德)和患者的数字化信息运行Atlantis Core File (登士柏西诺德),应用3A2B原则[1],为Ankylos C/X种植体 B 14(登士柏西诺德)规划最佳位置。
图1. 治疗前情况,考虑拔牙#11。
图2. CBCT:可见牙根断裂、唇面外吸收。
图3. 上下颌咬合位唇面重建:绝对需要设计牙冠。
图4. 使用Simplant软件根据计划的种植体位置设计导板。
图5. 使用Simplant软件将CBCT和CEREC口内扫描以及计划的种植体位置叠加。
图6. 在inLab软件(登士柏西诺德)中,根据收到的Atlantis核心文件,用后切技术规划未来CAD/CAM全瓷冠的形状和尺寸。
图7. 图示为烧造前在CERECCAD/CAM系统中制作的全瓷冠:Atlantis基台和牙冠将完美地结合在一起。
图8. 制作完成的螺丝固位IPSe.max冠在口外与Atlantis基台(氮化钛基台表面)粘接。
图9. #11骨折吸收处可见肉芽组织。
图10. 使用Er:YAG激光治疗仪移除肉芽组织。
图11.#11创伤性拔除后的清洁窝洞。
图12.牙支持式Simplant Guide
图13. 导板与患者的牙齿完美结合。
图14. 使用了一系列带有特定导套的种植钻头
图15. 使用Simplant Guide放置Ankylos种植体
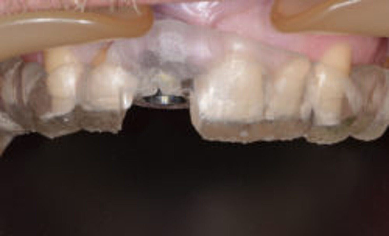
图16. Ankyos种植体的牙床下植入。将螺丝固位的IPSe.max牙冠安装在Atlantis基台上(无功能修复)。
图17. 后续CBCT显示,simplant软件完美定位了种植体
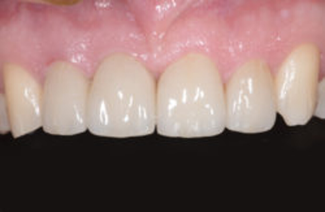
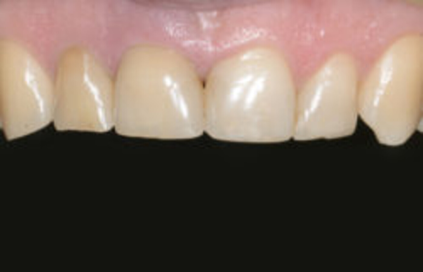
图18. 种植体周围的软组织适应良好。此外,在#12(根管治疗后)安装了陶瓷冠,#21和#22安装了陶瓷贴面。三年的随访显示软、硬组织无殊。
应用前期数字化资料,在CEREC瓷睿刻 CAD/CAM系统(登士柏西诺德)中设计、生产 #11种植体的螺丝固定Atlantis基台。所有部件、Simplant Guide、Atlantic 基台和临时冠,均采用CEREC瓷睿刻技术,在术前完成制造和交付。(图6-8)
前期准备充分后,拔除患牙。患牙骨折吸收区明显可见肉芽组织(图9),使用Er:YAG激光治疗仪将其移除(H14型手持器械,欧洲之星Fotona;图10)。拔牙过程无创伤,创口干洁,可以行种植术(图11)。
使用simplant guide,精准、安全地行骨下种植(图12-15)。Atlantic 基台上的螺丝固定全瓷冠(非功能性修复)在种植后即被安装(图16)。后续CBCT显示,simplant软件完美定位了种植体(图17)。
治疗非常成功,最终结果患者十分满意。三年后复诊可见种植体周软组织适应性良好(图18)。此外,#12根管治疗后安装了陶瓷冠,#21和#22安装了陶瓷贴面。
参考文献
1. Rojas-Vizcaya F. Biological aspects as a rule for single implant placement. The 3A-2B rule: a clinical report. J Prosthodont 2013;22(7):575-80
编者:本文发表于《digital―international magazine of digital dentistry》第2卷2021年1月刊
标签:
第29届中国国际口腔设备材料展览会暨技术交流会(Sino-Dental 2025)将于2025年6月9日-12日在北京国家会议中心举办。
...
今天,数字化牙科展览(Digital Dentistry Show, ...
直播
二. 19 五月 2026
11:00 下午 CST (Shanghai)
直播
三. 20 五月 2026
1:00 上午 CST (Shanghai)
Prof. Dr. med. dent. Ivo Krejci
直播
三. 20 五月 2026
7:00 下午 CST (Shanghai)
Dr. Graham Carmichael BDSc (Hons), DClinDent (Pros), FRACDS, Dr. Robert Gottlander DDS
直播
三. 20 五月 2026
9:00 下午 CST (Shanghai)
直播
三. 20 五月 2026
11:00 下午 CST (Shanghai)
直播
四. 21 五月 2026
1:00 上午 CST (Shanghai)
Prof. Dr. med. dent. Tim Joda PhD, MSc, eMBA
直播
五. 22 五月 2026
12:00 上午 CST (Shanghai)
Dr. Leonardo Muniz DDS, MSC
To post a reply please login or register